导读
《屌丝医生王小鹏》系列小说有大量的专业知识,每个章节都是一个病例,有疑难病例,也有普通病例。本书目的是希望大家在繁忙的工作之余,休闲阅读,放松身心,若能对专业有所启发,更是善莫大焉。
小说第一季已经完结,共含22个故事章节,每个故事都是作者的呕心沥血之作。感兴趣的朋友们可点击查看☛《屌丝医生王小鹏》系列小说第一季。
第二季精彩回顾☟☟☟
第一章:不一样的三角形
第二章:都是生牛乳惹的祸
第三章:大小熊猫脸
第四章:四肢麻木、行走不稳的中年妇女
第五章:主任发火了
第六章:突然垂腕的小女孩
作者:王明月-南昌三院
本文为作者授权医脉通发布,未经授权请勿转载。
第七章:法令纹与玻尿酸
此篇并非要跨行做美容,而是讲美容的风险。
法令纹,很多男生根本不知何物,我说一个所有神经科医生一看就懂的公式:法令纹≈鼻唇沟,也就是面部三角区周围。
法令纹过深会减弱面部的饱满程度,让人显的苍老,玻尿酸注射填充是解决方法之一。
闲话到此为止,开始今天的故事。
衷春云是一个35岁的中年妇女,结婚七年,在家操持家务,照顾父母,呵护子女,任劳任怨,她一心为家,衰老的很快,本以为会得到丈夫的怜惜,但恰恰相反,丈夫对她的态度越来越冷淡。
有时因为家庭琐事吵架,丈夫居然会骂出“黄脸婆”三个字。
衷春云开始郁郁寡欢,小区的妇女们聚在一起,都劝她多爱惜自己,女人老得快,要注意保养,学着化化妆,打扮一下。
衷春云开始心动,并尝试着改变,一日小区电梯里贴了张美容院的广告,地址离家不远,刚开张,优惠力度很大,她跃跃欲试,心想美容应该是唯一可以快速见效的方法。
既然有了想法,就要马上行动,她现在已经开始厌恶这张日渐衰老的脸了,美容院的前台很热情的接待了她,并给她推荐了一个帅气的整形医师。
整形医师叫袁野,高大英俊,明眸秀目,很专业的观察测量了衷春云的脸上的各个角落细节,然后做了一系列的整形计划,包括:眼角纹、口周纹的肉毒毒素注射,埋线提升术,法令纹玻尿酸填充等等。
衷春云先尝试了眼角纹、口周纹的肉毒毒素注射,注射1周后感觉效果不错,于是又来到美容院进行法令纹玻尿酸填充。
当手术进行至1小时,很快就要结束的时候,衷春云突然感觉右眼黑漆一团,紧接着左手、左脚就不能动弹,袁野吓的面色青紫,双手发颤,旁边的护师助手马上拨打了“120”急救电话。
到了急诊室,急诊医师迅速接上心电监护,心电监护显示:HR115次/分,血氧饱和度100%,BP155/80mmHg,患者意识模糊,呼之反应差,右侧瞳孔6.5mm,直接对光反射消失,间接对光反射存在;左侧瞳孔4mm,直接对光反射存在,间接对光反射消失;左侧肢体呈外展、外旋位,左侧巴士征阳性。
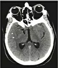
急诊行头部CT提示右侧大脑中动脉低密度(见下图):

急性脑梗死,应该是大脑中动脉高密度征,为何该患者是低密度呢?急诊科医生很是诧异,迅速请了神经内科会诊。
神经科的苏灿医师很快赶来,也觉得疑惑,就打电话让上级医师周凤到了急诊科。
“这是一个典型的眼动脉交叉瘫的患者,定位在右侧颈内动脉,但患者太年轻,右侧大脑中低密度,不是普通的脑梗死。周姐,您觉得呢?”苏灿说。
“你分析的对,右侧大脑中低密度,应该是空气、脂肪、或者其它填充物导致的栓塞。该患者刚做了法令纹的波尿酸填充,罪魁祸首应该就是玻尿酸。”周凤说。
“法令纹周围基本是面动脉的分支,面动脉是颈外动脉的一个分支,而三角区面动脉的分支通过眼动脉与颈内动脉相互沟通,玻尿酸可以通过三角区周围的小动脉进入眼动脉,进而进入颈内动脉和大脑中动脉。”周凤说。
“那这样的患者如何治疗呢?患者还这么年轻。”苏灿问。
“这种异物的栓塞确实很难处理,抗血小板、抗凝、溶栓等方法肯定行不通,机械取栓的疗效也不太如人意,如果出现恶性大脑中动脉综合征,只能去骨瓣减压了。”周凤叹道。
患者被送入神经科ICU病房,次日就出现了恶性大脑中综合征(见下图),去骨瓣减压后留住一命,但却终身残疾。

知识点:
有人问肉毒毒素会不会栓塞到血管?明确答复:不会。
肉毒毒素虽然不会栓塞血管引起眼睛失明和肢体瘫痪,但颜面部注射肉毒毒素除皱也有风险,常见的就是面部不对称,不仅没有达到美容的效果,反而更丑了。
玻尿酸和自体脂肪填充,因为异物直接进入颈内体循环,未经过肺循环,所以不会出现低氧血症和皮肤瘀斑出血。
玻尿酸和自体脂肪填充都会有血管栓塞的风险,一旦出现,后果不堪设想,尤其是鼻旁区域内注射填充,空气栓塞还有高压氧,但玻尿酸和脂肪栓塞简直就是叫天天不应,叫地地不灵啊!
版权声明:CosMeDna所有作品(图文、音视频)均由用户自行上传分享,仅供网友学习交流。若您的权利被侵害,请联系删除!
本文链接://www.cosmedna.com/article/554829613.html







