
人体正常的体温是36-37℃左右,24小时内波动幅度不超过1℃,口测正常值为36.3-37.2℃,肛测正常值为36.5-37.7℃,腋测正常值为36-37℃[1],耳腋测正常值为36.7-37.6℃,红外线测温计额测法只可用于人群的筛查[2]。发热待查(fever of unknown origin,简称FUO)是指口腔体温至少 3次>38.3℃(或至少3次体温在1天内波动>1.2℃),门诊患者发热 >1周,住院患者>3天,经过系统全面的检查仍不能确诊的一组疾病。系统全面的检查应至少包括3大常规 ,粪便隐血试验 、肝功能 、肾功能 、电解质 、血培养 、胸部 X 线片和腹部 B 超[2]。分以下四种类型经典病例、院内病例、免疫缺陷相关病例和旅行相关病例[3]。所以发热待查是个盲盒,不知道打开了是感染性疾病还是非感染性疾病;是良性还是恶性;该不该用糖皮质激素治疗?临床医师常常无从入手,我们遵从指南来抽丝剥茧找出发热的真正凶手。作者:陈侠 乐清市第三人民医院 呼吸与危重症医学科
本文为作者授权医脉通发布,未经授权请勿转载
病例1
病史:患者,女,56岁,咳嗽咳痰15天。
患者15天前出现阵发性咳嗽,咳黄绿脓痰,夜间好发,无畏寒发热,无胸闷胸痛,无咯血盗汗,无呼吸费力,无鼻塞流涕,无关节疼痛,无皮疹。
辅助检查:肺部CT:两肺下叶感染。血常规:白细胞 12.19*10^9/L↑;中性粒细胞% 78.1%;红细胞 3.95*10^12/L;血小板 391*10^9/L;C反应蛋白(超敏) 196.83mg/L↑;血沉118(0~20 )mm/h↑;肝功能:胆红素 9.2μmol/L;白蛋白 33.5g/L ↓;球蛋白 26.6g/L;谷丙转氨酶 77U/L↑;谷草转氨酶 69U/L↑;铁蛋白 624.90μg/L↑;B超:肝内囊肿,右肾囊肿,双肾结石。肺功能:轻度限制性肺通气功能障碍,小气道异常。肺炎支原体、衣原体抗体、大小便常规、隐血、肿瘤系列、肾功能、电解质、降钙素原(PCT)、ANCA系列、抗核抗体、甲状腺功能、痰培养、血培养均正常。
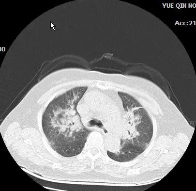
图1 肺部CT(20210615)
图2 肺部CT(20210615)
图3 肺部CT(20210615)
治疗过程:患者诊断为“肺炎”,予“哌拉西林钠他唑巴坦钠针联合左氧氟沙星针”抗感染治疗,入院当天患者出现发热38.2℃,后持续发热,无畏寒寒战,体温波动37-38.5℃,不规则热热型。予支气管镜检查为:支气管炎症性改变。支气管肺泡灌洗液(BALF)培养:木糖氧化无色杆菌,BALF二代基因测序(NGS):虫煤假单胞菌。
患者抗感染治疗后咳嗽症状好转,某天体温稳定,要求出院,予出院,建议出院后门诊复查肺部CT。1个月后患者门诊复查肺部CT发现两肺新增感染。
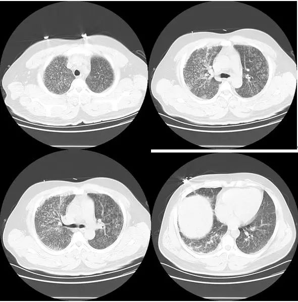
图4 肺部CT(20210615)
图5 肺部CT(20210615)
图6 肺部CT(20210615)
患者游走性肺炎,需考虑:支原体肺炎、机化性肺炎、过敏性肺炎、嗜酸细胞性肺炎、肺梗死、脓毒肺栓塞、反复误吸、活动性异物或肿瘤、肺血管炎。
再次予支气管镜下活检示:机化性肺炎,予甲泼尼龙片治疗后,肺部病灶吸收好转。
该病例提示,能找到病灶的不明原因发热,要注意随访,如随访病灶无好转需进一步病原学检查,发热不只是感染所致,非感染性疾病非结缔组织疾病也可导致发热;而铁蛋白>500ng/mL对于非感染性发热有诊断价值[4]。
病例2
病史:患者,女,64岁,咳嗽咳痰10天。
患者10天前出现咳嗽咳白痰,偶有少许血丝痰,无发热畏寒,无胸痛胸闷,无呼吸困难,无关节疼痛,无皮疹。
辅助检查:肺部CT:两肺感染及感染后改变。血沉75(0~20 )mm/h↑;乳酸脱氢酶 308U/L↑(88~240 U/L);铁蛋白 477.2μg/L↑;抗核抗体:抗双链DNA(抗dsDNA) <100IU/ml;抗核抗体 1:320↑;支气管镜:右侧支气管变形,支气管炎症。三大常规、肺炎支原体、衣原体抗体、PPD试验、肿瘤系列、肝肾功能、甲状腺功能、降钙素原、尿培养、血培养、BALF培养及抗酸杆菌均正常。
图7 肺部CT
图8 肺部CT
图9 肺部CT
治疗过程:患者诊断为“肺炎”,予“头孢西丁针联合左氧氟沙星针”抗感染治疗,仍持续发热,体温波动36.5-38.2℃,不规则热热型。改美罗培南针治疗,热仍未退并且出现了呼吸费力,指测氧饱和度95%下降至90%,肌炎谱回报:MDA5抗体阳性。予甲强龙针、他克莫司、丙种球蛋白及SMZ预防耶氏肺孢子菌肺部感染治疗,预后不良。
该病例提示,1.皮肌炎特别是MDA5抗体阳性皮肌炎可无皮疹;2.血清铁蛋白、乳酸脱氢酶对于无肌病性皮肌炎相关间质性肺疾病有诊断及死亡风险预测价值[5];3.临床医师需熟悉影像学知识;4.抗核抗体对于结缔组织疾病所致发热有诊断价值。
病例3
病史:患者,男,64岁,既往有“陈旧性肺结核、肺浸润性腺癌手术”病史,发热2天。
患者发热38℃,伴咳嗽咳黄痰,无乏力、夜间盗汗,无咯血,无胸痛胸闷,无呼吸费力。辅助检查:肺部CT:两肺感染。(笔者发现对比既往CT无增多)。血常规:白细胞 8.85*10^9/L;中性粒细胞% 61.2%;血红蛋白 158g/L;血小板 231*10^9/L;C反应蛋白(超敏) 29.04mg/L↑;大便隐血:阳性;血沉 31mm/h↑;B超、心电图:未见明显异常。肺炎支原体、隐球菌荚膜抗原、PCT、大小便常规、肿瘤系列、肝肾功能、甲状腺功能均正常。
治疗过程:患者诊断为“支气管炎”,予“头孢西丁钠针联合左氧氟沙星针”抗感染治疗后仍有低热。大便隐血阳性,建议胃肠镜检查。结果肠镜发现:结肠处见肠黏膜不规则隆起,病理示:结肠癌(图10),不排除肿瘤热可能,予手术治疗。
图10 病理示:结肠癌
该病例提示,对于老年发热病人需注意肿瘤热,即使外周血肿瘤系列阴性,1.老年人需体检,特别是贫血长期低热,肺部CT可以早期发现肺癌、肺结核;大便隐血、胃肠镜:胃肠癌;B超:肝癌、前列腺癌、乳腺癌、淋巴瘤;女性宫颈涂片:宫颈癌;血常规:白血病;2.肿瘤热为肿瘤患者排除感染和药物所致的发热,为排他性诊断,C反应蛋白、降钙素原对于肿瘤热有价值价值。
病例4
病史:患者,女,80岁,发热5天。
患者发热40℃,伴畏寒寒战,有腰痛,腹泻1次,无咳嗽无尿痛。
辅助检查:肺部CT:两肺感染后改变。血常规:白细胞 4.89*10^9/L;中性粒细胞% 88.5%↑;血小板 88*10^9/L ↓;血红蛋白 106g/L ↓;C反应蛋白(超敏) 49.59mg/L↑;尿常规:尿白细胞 0(-)Leu/μl;尿蛋白 100(2+)mg/dl;尿红细胞 1357.7/μl↑;降钙素原:2.968ng/ml↑;肾功能:肌酐 125μmol/L↑;尿素氮 7.22mmol/L↑;钾 2.66mmol/L ↓;肌钙蛋白I 1.502ng/ml↑;钠尿肽(NT-proBNP) 14522.0pg/ml↑;B超、心电图:未见明显异常。流感抗原、肺炎支原体、衣原体抗体、大便常规、隐血、肿瘤系列、肝功能、甲状腺功能、尿培养、血培养均正常。
治疗过程:患者诊断为“感染性发热、心功能不全、肾功能不全”,予“头孢哌酮舒巴坦钠针联合左氧氟沙星针”抗感染治疗,入院当天患者后持续发热,最高体温40.4℃,稽留热热型。查体发现患者皮肤有1处焦痂(图11,图片来源[6]),血NGS检测:恙虫病,予美诺环素治疗后好转。
图11 焦痂
该病例提示,1.降钙素原对于感染性疾病有价值;2.对于重症患者尽快NGS检查能及时明确诊断拯救生命;3.流感流行季对于发热病人流感必查,如果临床特点符合流感,即使咽拭子阴性也不能排除流感[7]。
病例5
病史:患者,男,39岁,温州永嘉人,有钓鱼爱好。发热乏力3天。
患者3天前出现胸闷乏力纳差,体温37.5℃左右,无明显咳嗽咳痰,无意识障碍,无胸痛腹痛。
辅助检查:肺部CT:两肺广泛散在病变。血常规:白细胞 10.93*10^9/L;中性粒细胞% 87.4%;嗜酸细胞% 1.4%;红细胞 4.11*10^12/L;血红蛋白 131g/L;血小板 37*10^9/L ↓;C反应蛋白(超敏) 230.1mg/L ↑;降钙素原(PCT) 1.8 ng/ml↑;肾功能:尿素氮 9.4mmol/L ↑;肌酐 221μmol/L ↑;血气:PH7.406,氧分压71.1 mmHg ↓;二氧化碳分压35.8 mmHg;剩余碱-1.7 mm/L;乳酸(全血)2.1 mm/L; 凝血酶原458.4mAu/ml(正常值11-32)↑;B超提示慢性肝病;大小便常规、肿瘤系列、肝功能、肌炎谱阴性、ANCA系列、尿培养、血培养均正常。
图12 肺部CT
治疗过程:患者肺部多发病灶,需与“肺结核、肺泡蛋白沉积症、ANCA相关性血管炎、过敏性肺炎”鉴别,查体发现患者腓肠肌压痛,血NGS:问号钩端螺旋体;BALF NGS(图13):软弱贫养菌、唾液链球菌等,结合地域流行病特点及下河病史,查体腓肠肌压痛、血小板低及凝血功能、肾功能障碍及肺部CT表现,考虑“钩端螺旋体”感染,予青霉素治疗后好转。
图13 BALF NGS报告单
该病例提示,对于不明原因发热,1.需结合当地的流行病特点,笔者查询文献发现温州地区FUO感染性疾病占64%,其中结核(包括肺外如肾、骨、中枢等部位结核)、伤寒最多见,少见布鲁氏菌、恙虫病、隐球菌、钩端螺旋体、肺吸虫;感染部位以肺、肝胆、泌尿系统、心脏瓣膜最多见;肿瘤(淋巴瘤多见)、结缔组织病、不明原因各占10%左右[4,8];2.NGS结果需与临床结合指导治疗,虽然NGS敏感度50.7%比培养的35.2%高,但仍会因采集部位、破壁技术不足、去人源化、数据库错误等问题出现假阴性[9]。
参考2022 年 《新英格兰医学杂志》(NEJM)一篇综述FUO诊疗流程如下[10]:首先询问病史有无流行病学史、动物接触史,药物使用史等来排除地方特色传染病、药物热、鹦鹉热衣原体、隐球菌、猫抓热、布鲁氏菌、过敏性肺炎等。然后通过查体来排除恙虫病(焦痂);皮肌炎(Gottron征、Gottron征、技工手);系统性红斑狼疮(蝶形红斑);类风湿性关节炎(四肢小关节对称性胀痛)、白塞病(口、眼、生殖器溃疡);伤寒(玫瑰疹、相对缓脉);成人Still病(皮疹);川崎病(结膜充血、颈部淋巴结肿大、杨梅舌、唇干裂、肢端脱皮);多发性骨髓瘤(贫血貌、骨痛);甲状腺功能亢进(突眼征、手抖、甲状腺肿大);感染性心内膜炎(出血点、Roth斑);痛风(第一趾关节突发红肿热痛)。然后通过常规辅助检查发现病变部位及特异性相关疾病,或大概判断出感染性或非感染性疾病。如仍一头雾水,可以通过PET-CT或PET-MRI发现感染灶予以侵入性检查[2]。另外随着科学技术的发展,还可以通过NGS技术来快速确定病原体,肌炎谱检查排除无皮疹型皮肌炎;G试验、隐球菌荚膜试验及GM试验排除真菌性感染;PPD试验或干扰素释放试验排除结核(我国结核多发,阴性结果有一定参考价值);胃肠镜侵入性检查发现胃肠道肿瘤、炎症性肠炎;骨髓穿刺排除血液系统疾病及骨髓感染;支气管镜检查,可做病理及BALF NGS、GM、结核X-pert、TBNA等检查来排除肺肿瘤、多发性血管炎、肺泡蛋白沉积症、结节病、结核或其他病原体等[11]。
FUO诊疗流程(2022NEJM)
对于通过以上常规及非常规检查仍不明确或患者因经济或其他原因无法进行价格昂贵的特殊检查怎么办?还是有国外专家提供小绝招的(未进行大规模临床验证,尚无达成专家共识)。
萘普生激发方式鉴别癌症引起的FUO和感染引起的FUO,用药期间迅速退烧者大多为肿瘤热[12]。
诊断性治疗:经门诊常规检查及治疗仍无效且无线索者,药物诊断性治疗顺序:多西环素、抗结核药、抗真菌药、糖皮质激素(慎用,可能延误病情-笔者注)和其他疗法[3]。
参考文献
1. 万学红,卢雪峰,等.诊断学,第9版[M].北京:人民卫生出版社,2017:89-90.
2.《中华传染病杂志》编辑委员会.发热待查诊治专家共识[J].中华传染病杂志,2017,35(11):641-645.
3. N Engl J Med 2022;386:463-477.DOI:10.1056/NEJMra2111003.
4.黄登,谢林钦.不明原因发热患者感染性疾病检出结果分析[J].浙江中西医结合杂志,2020,13(2):136-139.
5.Chunde Bao.Mortality Risk Prediction in Amyopathic Dermatomyositis Associated With Interstitial Lung Disease[J].CHEST.2020;158(4):1535-1545.
6.啰嗦探案.恙虫病的诊断和治疗.[EB/OL].(2022-02-05)(2022-07-19).//p1-tt.byteimg.com/origin/tos-cn-i-tjoges91tu/TCbZINv5WURUnJ.jpg" style="width: 650px;">
版权声明:CosMeDna所有作品(图文、音视频)均由用户自行上传分享,仅供网友学习交流。若您的权利被侵害,请联系删除!
本文链接://www.cosmedna.com/article/255384771.html






















 
                                             
                                             
                                             
                                             
                                             
                                             
                                             
                                             
                                             
                                             
                                             
                                         
                                         
                                         
                                         
                                         
                                         
                                         
                                         
                                         
                                         
                                         
                                         
                                         
                                         
                                         
                                        